Robotic-Assisted
Total Knee Replacement

Surgeon performing robotic-assisted knee replacement surgery in a modern operating room.

Robotic guidance allows careful planning and precise execution during knee replacement surgery. The technology helps tailor implant positioning to each patient’s anatomy while maintaining the surgeon’s control throughout the procedure.

Robotic-assisted knee replacement is designed to relieve arthritis pain, restore stability, and allow patients to return to daily activity with confidence.

Dr. Gill performs robotic-assisted knee replacement in Johnson City for patients across the Tri-Cities region of East Tennessee.

What Is Robotic-Assisted Knee Replacement?

Medical illustration of knee replacement implant used to restore joint function.

Total knee replacement treats advanced knee arthritis by replacing the worn surfaces of the joint with metal and polyethylene implants.

Robotic assistance adds a layer of planning and precision. Before bone preparation begins, the knee’s alignment, cartilage wear, and ligament balance are assessed in detail. This allows implant positioning to be adjusted to optimize alignment and stability for long-term function.

The procedure is performed entirely by the surgeon, with robotic technology serving as an advanced tool to support accurate execution of the surgical plan.

Robotic Knee Replacement:
Key Points

Who is a candidate?

Patients with advanced knee arthritis who have persistent pain and limited function despite conservative treatment.

What does robotic-assisted surgery mean?

Robotic assistance allows for precise planning and implant positioning, helping optimize alignment and balance of the knee.

Is this an outpatient procedure?

Many patients are able to undergo knee replacement in an outpatient setting, depending on overall health and support at home.

How long is recovery?

Most patients begin walking the day of surgery, with gradual improvement over several weeks and continued gains over months.

What are the benefits?

Improved precision in implant placement, more consistent alignment, and potentially better functional outcomes.

What are the risks?

Infection, stiffness, blood clots, and implant-related complications.

Why Robotic-Assisted Knee Replacement?

Robotic guidance enhances the procedure by ensuring:

  • Personalized alignment based on each patient’s anatomy

  • Consistent bone preparation

  • Accurate implant positioning

  • Careful balancing of the knee throughout its range of motion

These factors contribute to a well-aligned, stable knee replacement designed for long-term durability.

Orthopedic team implementing VELYS robotic-assisted knee replacement in Johnson City, TN using advanced technology for precise alignment and improved outcomes.

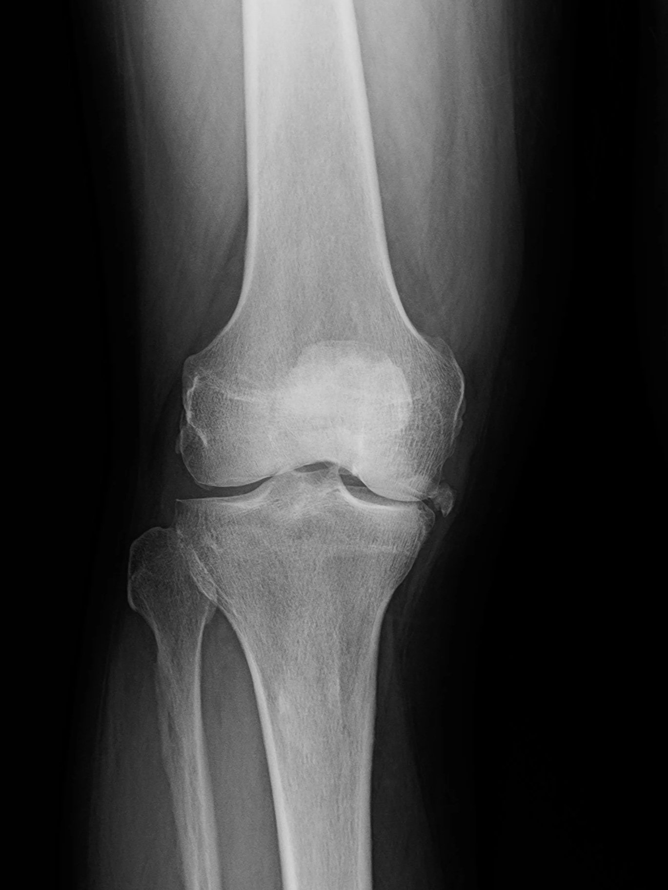
Knee Replacement on X-Ray

X-ray of knee showing joint space narrowing from osteoarthritis.

Before

Advanced osteoarthritis in the knee with loss of joint space and abnormal alignment. This causes pain, inflammation, and stiffness.

X-ray showing total knee replacement with prosthetic components in place.

After

Total knee replacement restores alignment and creates a smooth surface for pain-free activity.

Who Is a Candidate for Knee Replacement?

Knee replacement may be considered when arthritis significantly limits daily activity and non-surgical treatments no longer provide meaningful relief.

  • Advanced knee arthritis

  • Persistent pain with walking or climbing stairs

  • Stiffness that limits motion

  • Reduced ability to remain active

  • Limited improvement with injections, medications, or physical therapy

A consultation and imaging evaluation help determine whether knee replacement is appropriate and when surgery may be the next step.

Considering a knee replacement?

A consultation allows us to review imaging, discuss non-surgical options, and determine whether robotic-assisted knee replacement is appropriate for your condition and goals.

Surgical Team & Joint Replacement Center

Watauga Orthopaedics Center for Advanced Bone and Joint Surgery in Johnson City, TN, where outpatient hip and knee replacement procedures are performed.

Dedicated Joint Replacement Team

  • Board-certified orthopedic surgeon

  • Experienced operating room personnel

  • Anesthesia team experienced in regional and multimodal techniques

  • Coordinated perioperative nursing care

Outpatient Joint Replacement at an Accredited Center of Excellence

Coordinated Recovery Pathway

  • Structured postoperative follow-up

  • Physical therapy coordination

  • Direct access for clinical concerns

  • Individualized recovery oversight

Evaluation

A comprehensive history, examination, and imaging review guide treatment. When surgery is appropriate, planning is individualized based on anatomy, health status, and functional goals.

What to Expect

Preparation

Medical optimization, patient education, and a defined recovery plan help ensure readiness and support a smooth perioperative course.

Surgery

Robotic-assisted knee replacement is performed using digital planning and evidence-based protocols. Precise component positioning and soft-tissue preservation are priorities. Many patients undergo surgery in an outpatient setting with same-day discharge when appropriate.

Recovery

Mobilization begins the day of surgery. Structured rehabilitation and scheduled follow-up visits support steady improvement in pain, mobility, and function over the first several weeks.

Recovery Timeline

Outpatient surgery center hallway designed for same-day joint replacement recovery.

Day of Surgery

Walking begins within hours after knee replacement.

Weeks 1–2

Focus on mobility, wound care, and safe movement at home.

Weeks 2–6

Return to driving and activity as gait and confidence improve.

Weeks 6–12

Progression of strength and endurance. Return to work.

3+ Months

Return to higher-level activity as recovery matures.

1 Year

Strength, balance, and function fully established.

Clinical Outcomes

Results

  • Significant pain reduction

  • Improved mobility and daily function

  • High long-term patient satisfaction

  • Dependable performance over time

  • Smooth recovery for most patients with steady improvement during the first several weeks

Orthopedic surgical team performing joint replacement surgery in an operating room using specialized orthopedic instruments.

Risks

  • Infection

  • Blood clots

  • Stiffness

  • Nerve injury

  • Fracture

  • Implant wear or loosening

Common Questions About Robotic Knee Replacement

  • Before surgery, treatment may include medications, physical therapy, injections, bracing, and activity modification. Knee replacement is considered when these measures no longer provide meaningful relief.

  • No. The surgery is performed entirely by the surgeon. The robotic system functions as a planning and guidance tool that provides measurements during the procedure to help position the implants accurately.

  • Both techniques aim to relieve arthritis pain and restore function. Robotic guidance adds additional planning and measurement tools that help refine implant alignment and ligament balance during surgery.

  • Most patients begin standing and walking with assistance within hours after surgery. Early movement helps reduce stiffness and supports recovery.

  • Recovery involves soreness and stiffness in the early weeks after surgery. Modern pain management strategies, early mobilization, and structured rehabilitation help most patients progress steadily as comfort and function improve.

  • Most patients begin walking shortly after surgery and gradually increase activity during the first several weeks. Strength and function continue improving for several months as the knee adapts to the new joint.

  • Physical therapy typically begins immediately after surgery and continues for about 6 weeks. The goal is to restore motion, strength, and confidence in the knee during daily activities.

  • In this practice the patella is not routinely resurfaced. Preserving the natural kneecap allows the joint to function normally while avoiding unnecessary bone removal. The decision can be individualized depending on the condition of the patella.

  • Modern knee replacements are designed for long-term durability. Many implants function well for 20 years or longer depending on factors such as alignment, activity level, weight, and overall health.

A structured evaluation helps determine whether surgery is appropriate and how to approach it safely.

If knee pain is limiting your mobility, we will review imaging, discuss non-surgical options when appropriate, and outline a plan aligned with your goals.

Considering Knee Replacement?